Explorando el mundo microscópico: observación de células animales y vegetales
Secundaria – 31 May, 2025
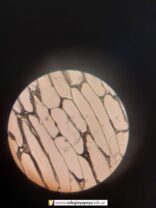
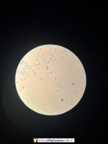
Los alumnos de 5to año de la orientación en Ciencias Naturales realizaron una enriquecedora experiencia en el laboratorio, donde pusieron en práctica sus conocimientos sobre citología. A través del uso del microscopio, pudieron observar células animales y vegetales, identificando sus principales organelas y reconociendo las diferencias estructurales entre ambos tipos celulares. Durante la actividad, los alumnos no solo aprendieron a manipular el microscopio óptico y preparar muestras, sino que también desarrollaron habilidades de observación científica, registro y análisis. Como cierre del trabajo, cada alumno elaboró esquemas detallados de las células observadas, destacando las particularidades de cada una. Una experiencia significativa que despierta la curiosidad, afianza el conocimiento y acerca a nuestros estudiantes al trabajo científico real. ¡Felicitaciones por el compromiso y el entusiasmo!











Seguí al colegio