Colegio Yapeyú

  • Subscribirse via RSS
  • Subscribirse via E-mail

  • Home
  • Jardín
  • Primaria
  • Secundaria
  • Propuesta Educativa

Campus PRE-INSCRIPCIÓN

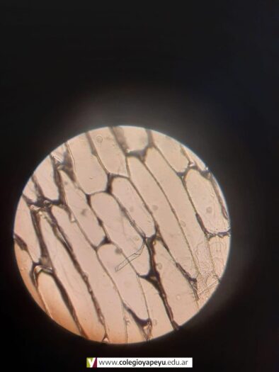
« Explorando el mundo microscópico: observación de células animales y vegetales

Siguiente »

« Anterior

Colegio Yapeyú, San Juan 444, Corrientes, Argentina. Tel: 0379-4420071 - Powered by WordPress.

Volver arriba